Prothèses dentaires

Dentiste PARIS XVI

Prothèses

dentaires

Notre savoir-faire

Prothèses dentaires

PARIS XVI

Une solution sur mesure pour remplacer ou restaurer vos dents

La prothèse dentaire est un dispositif conçu pour remplacer une ou plusieurs dents manquantes ou restaurer une dent abîmée afin de retrouver confort, fonction masticatoire et esthétique du sourire. Elle peut être fixe (couronnes, bridges, inlay, onlay) ou amovible (dentier complet ou partiel).

Au cabinet du Dr Marie-Hélène Chrétien Franceschini à Paris 16ᵉ, chaque prothèse est réalisée sur mesure, en harmonie avec votre dentition et votre morphologie faciale, en privilégiant confort, durabilité et esthétique naturelle.

Couronnes dentaires

Restaurer une dent abîmée ou fragilisée

La couronne est une enveloppe qui recouvre entièrement une dent fragilisée, fracturée ou dévitalisée. Elle permet de :

  • Protéger la dent restante
  • Restaurer la fonction masticatoire
  • Offrir une esthétique naturelle

La pose se fait après préparation de la dent et prise d’empreintes précises. Les couronnes peuvent être en céramique, zircone ou métal-céramique selon vos besoins et préférences.

Nos solutions

Prothèses dentaires à Paris 16

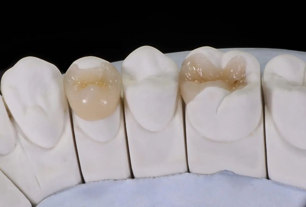
Inlays et Onlays

Les inlays et onlays sont des restaurations indirectes conçues pour combler les cavités ou réparer une dent partiellement endommagée.

  • Inlay : couvre la partie interne de la dent
  • Onlay : recouvre une partie plus large, incluant éventuellement la cuspide

Ces prothèses permettent de préserver au maximum la structure naturelle de la dent tout en offrant une solution esthétique et durable, parfaitement adaptée à la morphologie de chaque dent.

Bridges dentaires

Le bridge est une prothèse fixe utilisée pour remplacer une ou plusieurs dents absentes, en s’appuyant sur les dents adjacentes. Il permet de :

  • Restaurer la fonction masticatoire
  • Maintenir l’alignement des dents
  • Préserver l’esthétique du sourire

Chaque bridge est conçu sur mesure pour s’intégrer parfaitement à votre dentition et garantir confort et durabilité.

Prothèses amovibles

Les prothèses amovibles peuvent remplacer plusieurs dents ou une arcade complète. Elles sont conçues pour être portées et retirées facilement, tout en garantissant :

  • Confort et stabilité lors de la mastication
  • Esthétique naturelle du sourire
  • Maintien de la structure buccale et des gencives

Le cabinet propose des solutions légères et parfaitement ajustées pour un port quotidien confortable.

Retour en haut