Esthétique dentaire

Dentiste PARIS XVI

La dentisterie

esthétique

Notre savoir-faire

Excellence Esthétique

PARIS XVI

Une vision audacieuse du sourire

Au cœur de notre pratique, l’esthétique n’est pas une simple correction, mais une révélation. Nous allions l’analyse mathématique des proportions faciales à la sensibilité artistique pour créer des résultats qui semblent avoir toujours existé. Chaque facette, chaque alignement est pense comme une œuvre unique, respectant la biologie naturelle tout en sublimant l’expression de votre personnalité.

Un sourire sur-mesure

Sublimer sans transformer, révéler sans jamais figer.

Dans une approche résolument contemporaine, le cabinet envisage l’esthétique dentaire comme un équilibre subtil entre exigence médicale et sens du détail.
Chaque sourire est étudié avec précision afin de préserver son identité tout en en révélant tout le potentiel.

Parce qu’aucun visage ne se ressemble, chaque traitement fait l’objet d’une réflexion globale intégrant proportions, lignes du sourire et harmonie des volumes.
L’objectif : un résultat naturel, élégant et parfaitement intégré.

Esthétique dentaire Paris XVI

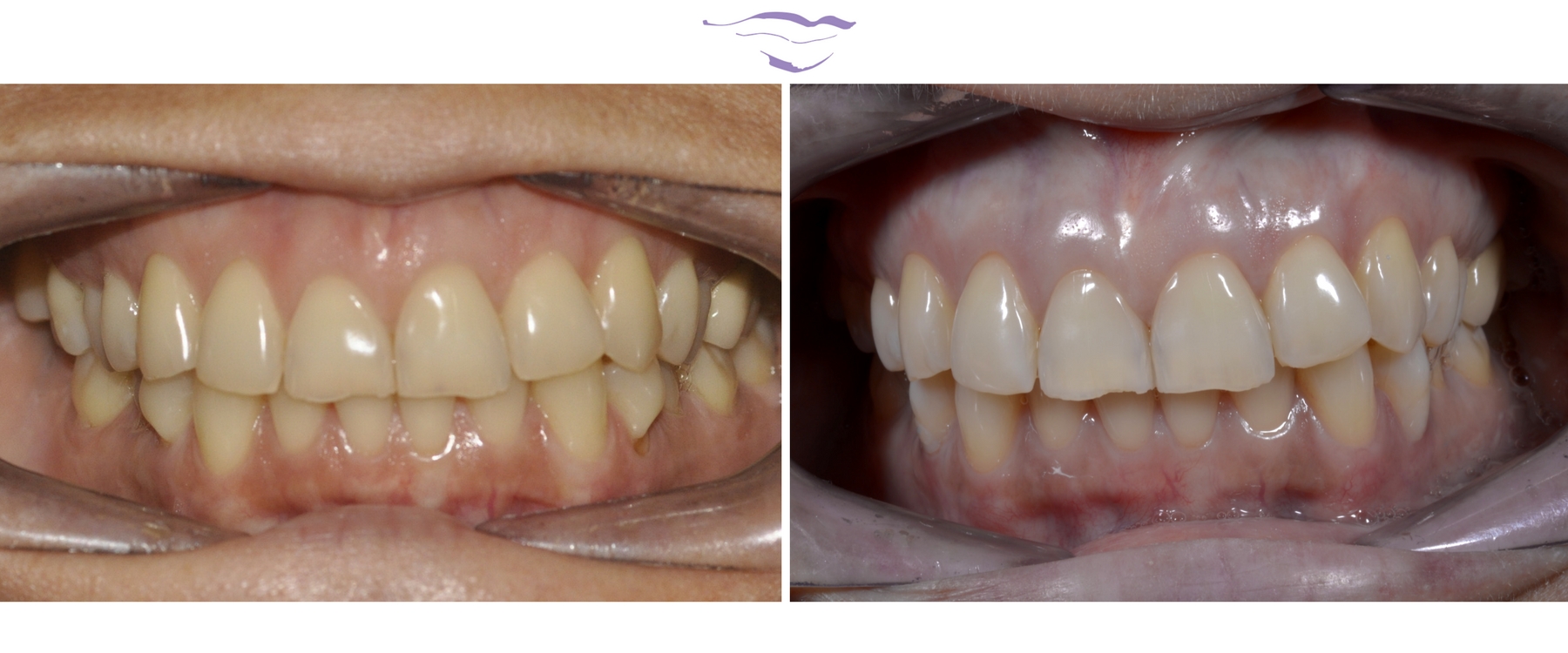
Nos traitements esthétiques

Facettes dentaires

Restauration durable par la pose de facettes en céramique. Retrouvez la structure
originelle de votre dentition avec une précision chirurgicale.

Orthodontie invisible

Alignement dentaire discret pour un sourire équilibré sans contraintes esthétiques.

Blanchiment dentaire

Un éclat naturel retrouvé grâce à des protocoles
personnalisés. Nos technologies de pointe préservent l’émail tout en éliminant les dyschromies les plus profondes.

Acide Hyaluronique

Sublimation du cadre du sourire. Des soins de
médecine esthétique pour parfaire l’harmonie globale de votre visage.

Retour en haut